RECOMMENDこちらの記事も人気です。
-
リハビリ
足首のテーピングの巻き方について(足関節捻挫・二分靱帯損傷・腓骨下端部骨…
-
骨折・脱臼
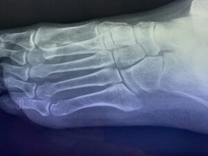
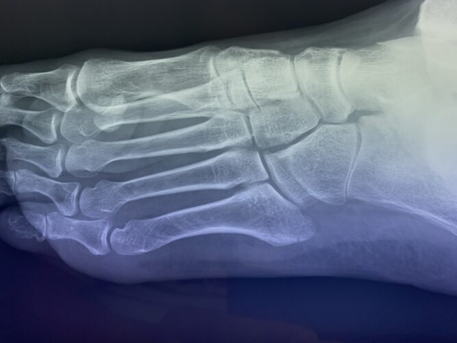
第5中足骨基底部骨折でお悩みの方へ(下駄骨折)の総合ガイド|当院が実践す…
-
院長ブログ
第28回整骨研究会「賜恩」研究会を開催し、上腕骨顆上骨折伸展型の研修をし…
-
骨折・脱臼
保存療法を選択した場合の上腕骨顆上骨折(伸展型)の特徴や注意点について
-
下肢の痛み・しびれ
寛骨臼形成不全(臼蓋形成不全)が原因の股関節の痛みでお悩みの方へ向けて治…
-
リハビリ
二分靱帯損傷・前距腓靭帯損傷・腓骨下端部骨折・第5中足骨骨折後に行うリハ…
-
上肢の痛み・痺れ
牛久市で指の怪我(突き指・骨折・脱臼)にお悩みの方へ:症状の見分け方から…
-
下肢の痛み・しびれ
くり返す足のつり(こむら返り)、原因は?今すぐできる対処法から専門的なア…
ABOUTこの記事をかいた人
蛯原接骨院院長です。怪我と痛みの専門家として、教科書通りの施術ではなく、代々伝わる伝統的な施術と最新の知識・技術を取り入れて、怪我の施術を行っています。また、茨城県内では数少ない、脳と痛みの関係に注目した痛みの治療を行っています。交通事故はもちろんの事、怪我や怪我の後遺症にお悩みの方、身体の痛みに対し、何をやっても良くならない・どこへ行っても良くならないという方を、一人でも多く救いたいという思いからブログでの発信を行っています。
ぎっくり腰・捻挫・リハビリ・アキレス腱断・椎間板ヘルニア・脊柱管狭窄症・変形性股関節・膝関節症にも対応可能 茨城県牛久市で接骨院、整骨院をお探しなら蛯原接骨院へ
茨城県県南地域では当院のみで行っているBFI療法で痛みやしびれの症状を改善します。骨折・脱臼などの怪我や交通事故もお任せ下さい。

院長 蛯原 吉正 蛯原 久美子
けがと痛みの専門家である私達が、
親身になって施術致します。
院長 蛯原 吉正
■今までに、2万人以上の患者様の施術をさせて頂きました。
■骨折や脱臼などの怪我の患者様の施術を数多く経験しております。
■ご来院の際には、他院にはない施術をご提供致します。
■スポーツは水泳・柔道(3段)・スノーボード(歴20年)
■趣味は海釣り(好きな釣りはイサキ釣り・ワラサ釣り)
■釣り道具はDAIWA製品
■旅は館山・三浦・伊豆・沖縄
■スノーボード用品はゴーグルはDICE・ウエアはDC・ブーツはX5・ビンディングはFLUX・ボードはOGASAKA
お知らせ
3月のお知らせ
7日(土)休診
20日(金)春分の日 午前8時~11時迄受付
他の日には変更ありません。
よろしくお願いいたします。
受付時間・休診日
※当院は予約制ではありません。
【受付時間・休診日】
| 受付時間 | 月 | 火 | 水 | 木 | 金 | 土 | 日 |
| 午前8時~12時 | ○ | ○ | ○ | ○ | ○ | ※ | 休 |
| 午後3時~8時 | ○ | ○ | ○ | ○ | ○ | 休 | 休 |
※土曜日 : 午前8時~12時30分
休診日 : 土曜日午後・日曜日・祝祭日
(祝祭日は診療している日もございます。)
・急患随時受付(24時間対応)
・交通事故対応
・労働災害対応
・痛みの為に歩行困難な方は往診も致します。
・早朝や休日のテーピング処置も対応致します。
・自宅兼施術所となっておりますので、休日・夜間の怪我でお困りの際はご連絡下さい。
可能な限り対応致します。
院外活動実績
【整骨研究会「賜恩」での実技指導】

骨折・脱臼に関する研修会の役員をしています。同じ役員の先生方と講師のもと、同業の先生達に向けて骨折・脱臼の治し方の実技指導をしております。
【研修会開催】
第1回整骨研究会「賜恩」研修会開催
さわやか千葉県民プラザ(上腕骨顆上骨折)
第2回整骨研究会「賜恩」研修会開催
さわやか千葉県民プラザ(会員による症例発表)
第3回整骨研究会「賜恩」研修会開催
さわやか千葉県民プラザ(前腕骨下端部骨折)
第4回整骨研究会「賜恩」研修会開催
さわやか千葉県民プラザ(会員による症例発表)
第5回整骨研究会「賜恩」研修会開催
さわやか千葉県民プラザ(前腕骨下端部骨折)
第6回整骨研究会「賜恩」研修会開催
さわやか千葉県民プラザ(会員による症例発表)
第7回整骨研究会「賜恩」研修会開催
さわやか千葉県民プラザ(鎖骨骨折)
第8回整骨研究会「賜恩」研修会開催
さわやか千葉県民プラザ(会員による症例発表)
第9回整骨研究会「賜恩」研修会開催
さわやか千葉県民プラザ(肩関節脱臼)
第10回整骨研究会「賜恩」研修会開催
さわやか千葉県民プラザ(会員による症例発表)
第11回整骨研究会「賜恩」研修会開催
さわやか千葉県民プラザ(上腕骨外科頸骨折)
第12回整骨研究会「賜恩」研修会開催
さわやか千葉県民プラザ(会員による症例発表)
第13回整骨研究会「賜恩」研修会開催
さわやか千葉県民プラザ(上腕骨外科系骨折)
第14回整骨研究会「賜恩」研修会開催
さわやか千葉県民プラザ(会員による症例発表)
第15回整骨研究会「賜恩」研修会開催
さわやか千葉県民プラザ(会員による症例発表)
第16回整骨研究会「賜恩」研修会開催
さわやか千葉県民プラザ(指骨骨折)
第17回整骨研究会「賜恩」研修会開催
さわやか千葉県民プラザ(会員による症例発表)
第18回整骨研究会「賜恩」研修会開催
さわやか千葉県民プラザ(指骨骨折)
第19回整骨研究会「賜恩」研修会開催
さわやか千葉県民プラザ(会員による症例発表)
第20回整骨研究会「賜恩」研修会開催
さわやか千葉県民プラザ(指の脱臼)
第21回整骨研究会「賜恩」研修会開催
さわやか千葉県民プラザ(会員による症例発表)
第22回整骨研究会「賜恩」研修会開催
春日部市市民活動センター(指の脱臼)
第23回整骨研究会「賜恩」研修会開催
春日部市市民活動センター(会員による症例発表)
第24回整骨研究会「賜恩」研修会開催
春日部市市民活動センター(肘関節脱臼)
第25回整骨研究会「賜恩」研修会開催
春日部市市民活動センター(前腕骨骨幹部骨折)
第26回整骨研究会「賜恩」研修会開催
春日部市市民活動センター(前腕骨骨幹部骨折)
第27回整骨研究会「賜恩」研修会開催
春日部市市民活動センター(上腕骨顆上骨折)
第28回整骨研究会「賜恩」研修会開催
春日部市市民活動センター(上腕骨顆上骨折)
【整骨研究会「賜恩」での症例発表】
小児上腕骨外顆回転骨折の1症例について
肘関節前方脱臼の1症例について
第5中足骨骨折の1症例について
AKA-博田法について
【コラム執筆】
スノーワークショップ様・リハビリテーション講座 ↑クリックするとページにジャンプします。
【大会救護】
近隣市町村柔道大会救護
藤代町柔道大会救護
YouTube
当院の紹介やテーピングの貼り方・包帯の巻き方・骨折の治し方(専門家向け)を動画にしてみました。














